Услуги

Лечение вторичного кариеса под пломбой

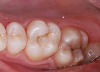
Фото до и после процедуры:

Пациенту по 3D снимку диагностировали вторичный кариес под пломбой.

Когда микроорганизмы из налёта и полости рта проникают под пломбу, возникает кариозный процесс. Если вовремя не поменять пломбу, кариозные бактерии могут инфицировать нерв зуба. Опасность в том, что пациента в таком случае ничего не беспокоит и пломба "на месте". Зуб заболит внезапно , когда нерв «погибнет».

 Этапы лечения :
1. Анестезия - обезболили область вмешательства.
2. Изолировали зуб от попадания ротовой жидкости и с целью безопасного, максимально качественного лечения системой коффердам.
3. Снятие несостоятельной пломбы и обнаружение рецидива кариеса под ней.
4. Препарирование всех инфицированных тканей.
5. Пломбирование.
6. Шлифовка, полировка реставрации.

У вас есть вопросы?
Запись на прием Заказать звонок
Вверх
Ваше сообщение успешно отправлено.
Произошла ошибка. Попробуйте повторить позже.
Ваше сообщение успешно отправлено.
Произошла ошибка. Попробуйте повторить позже.
Ваше сообщение успешно отправлено.
Произошла ошибка. Попробуйте повторить позже.
Ваше сообщение успешно отправлено.
Произошла ошибка. Попробуйте повторить позже.
Мы перезвоним – для Вас звонок бесплатен!

Напишите свои имя и номер телефона, чтобы мы могли связаться с Вами.
Будем рады помочь Вам!
Ваше сообщение успешно отправлено.
Произошла ошибка. Попробуйте повторить позже.
Ваше сообщение успешно отправлено.
Произошла ошибка. Попробуйте повторить позже.
Данные об имплантации, ортопедии и костной пластике. В случае проведения имплантации:
Обратите внимание, что предоставление заверенных копий лицензий медицинских учреждений для получения налогового вычета не является обязательным! При наличии в договоре на лечение, справке об оказанных услугах на лечение ссылки на реквизиты лицензии, налоговым органам не рекомендуется требовать от налогоплательщика представления копий соответствующих лицензий. Данная рекомендация содержится в письме ФНС от 31 августа 2006 г. N САЭ-6-04/876@.


Предоставление чеков и других платежных документов также не является обязательным, что подтверждается разъяснениями налоговых органов (письмо ФНС от 07.03.2013 г. N ЕД-3-3/787@; Письмо ФНС от 02 мая 2012 года N ЕД-4-3/7333@.).