Услуги

Реставрация зубов пломбировочным материалом

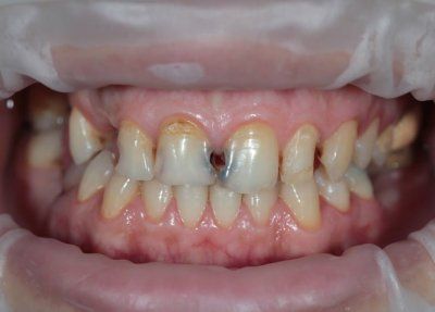
Фото до и после процедуры:

Реставрация зубов пломбировочным материалом — это процесс восстановления формы, цвета и функции зуба с использованием специальных композитных материалов. Эта услуга предоставляется стоматологами и направлена на устранение различных дефектов зубов, таких как сколы, трещины, изменение формы и длины зуба.


Процедура реставрации состоит из нескольких этапов:


  1. Консультация стоматолога и рентгенодиагностика.

  2. Профессиональная гигиена полости рта для удаления бактериального налёта.

  3. Анестезия и удаление старых пломб.

  4. Обработка кариозных полостей.

  5. Послойное выкладывание композитного материала на очищенную поверхность зуба.

  6. Шлифовка и полировка восстановленного зуба.


Современные композитные материалы обладают прочностью, твёрдостью и хорошей цветовой гаммой, что делает их максимально похожими на ткани зуба.

У вас есть вопросы?
Запись на прием Заказать звонок
Вверх
Ваше сообщение успешно отправлено.
Произошла ошибка. Попробуйте повторить позже.
Ваше сообщение успешно отправлено.
Произошла ошибка. Попробуйте повторить позже.
Ваше сообщение успешно отправлено.
Произошла ошибка. Попробуйте повторить позже.
Ваше сообщение успешно отправлено.
Произошла ошибка. Попробуйте повторить позже.
Мы перезвоним – для Вас звонок бесплатен!

Напишите свои имя и номер телефона, чтобы мы могли связаться с Вами.
Будем рады помочь Вам!
Ваше сообщение успешно отправлено.
Произошла ошибка. Попробуйте повторить позже.
Ваше сообщение успешно отправлено.
Произошла ошибка. Попробуйте повторить позже.
Данные об имплантации, ортопедии и костной пластике. В случае проведения имплантации:
Обратите внимание, что предоставление заверенных копий лицензий медицинских учреждений для получения налогового вычета не является обязательным! При наличии в договоре на лечение, справке об оказанных услугах на лечение ссылки на реквизиты лицензии, налоговым органам не рекомендуется требовать от налогоплательщика представления копий соответствующих лицензий. Данная рекомендация содержится в письме ФНС от 31 августа 2006 г. N САЭ-6-04/876@.


Предоставление чеков и других платежных документов также не является обязательным, что подтверждается разъяснениями налоговых органов (письмо ФНС от 07.03.2013 г. N ЕД-3-3/787@; Письмо ФНС от 02 мая 2012 года N ЕД-4-3/7333@.).