Услуги

Профессиональная гигиена полости рта

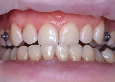
Фото до и после процедуры:

Пациенту была проведена профессиональная гигиена полости рта. Снятие твердых и мягких отложений.
У вас есть вопросы?
Запись на прием Заказать звонок
Вверх
Ваше сообщение успешно отправлено.
Произошла ошибка. Попробуйте повторить позже.
Ваше сообщение успешно отправлено.
Произошла ошибка. Попробуйте повторить позже.
Ваше сообщение успешно отправлено.
Произошла ошибка. Попробуйте повторить позже.
Ваше сообщение успешно отправлено.
Произошла ошибка. Попробуйте повторить позже.
Мы перезвоним – для Вас звонок бесплатен!

Напишите свои имя и номер телефона, чтобы мы могли связаться с Вами.
Будем рады помочь Вам!
Ваше сообщение успешно отправлено.
Произошла ошибка. Попробуйте повторить позже.
Ваше сообщение успешно отправлено.
Произошла ошибка. Попробуйте повторить позже.
Данные об имплантации, ортопедии и костной пластике. В случае проведения имплантации:
Обратите внимание, что предоставление заверенных копий лицензий медицинских учреждений для получения налогового вычета не является обязательным! При наличии в договоре на лечение, справке об оказанных услугах на лечение ссылки на реквизиты лицензии, налоговым органам не рекомендуется требовать от налогоплательщика представления копий соответствующих лицензий. Данная рекомендация содержится в письме ФНС от 31 августа 2006 г. N САЭ-6-04/876@.


Предоставление чеков и других платежных документов также не является обязательным, что подтверждается разъяснениями налоговых органов (письмо ФНС от 07.03.2013 г. N ЕД-3-3/787@; Письмо ФНС от 02 мая 2012 года N ЕД-4-3/7333@.).